翼城孙毅口腔
收藏TA需扫码在手机上打开微
主页后点击更新提醒
最新内容 57
凝心聚力强根基 四个认同聚合力 政协第七委员小组活动研讨读书会
2023-11-04 2199阅读
“读一本好书,赢精彩人生”翼城孙毅口腔系列读书会
2022-03-01 639阅读
新的社会阶层人士联谊会第一届读书会
2022-01-22 694阅读
"读一本好书,赢精彩人生”翼城孙毅口腔系列读书会
2022-01-22 667阅读
疫情防控,使命在肩
2022-01-17 1534阅读
“读一本好书,赢精彩人生”翼城孙毅口腔系列读书会
2021-12-02 285阅读
抗击疫情政协三组在行动
2021-02-26 119阅读
政协第三委员学习小组赴西阎镇开展“乡村产业振兴”专题调研活动
2020-08-06 1124阅读
政协第三委员学习小组用爱助力抗击疫情
2020-02-12 426阅读
翼城县召开2019年全县儿童口腔疾病综合干预项目启动会
2019-10-11 793阅读
政协第三委员学习小组召开“不忘初心、牢记使命”主题教育部署会暨“为祖国庆生”读书会
2019-10-08 164阅读
我阅读,我优秀,我自豪!我是翼城孙毅口腔人!
2019-08-14 109阅读
翼城县新的社会阶层人士联谊会首次班子会议召开
2019-08-10 752阅读
孕妇患者险失母子两命,仅仅是因为一颗牙齿…
2019-06-01 55阅读
拔牙后抽烟喝酒致“干槽症”,这不光是不要牙,也不要命了...
2019-05-30 940阅读
细数那些你曾经“视而不见”的影像细节
2019-05-27 115阅读
被遗忘的固位方法--桩、核以及钉
2019-05-04 1122阅读
牵一“齿”而动全身:牙周病,真的伤不起
2019-04-28 121阅读
牙龈出血怎么办?看完你就知道啦!
2019-04-18 176阅读
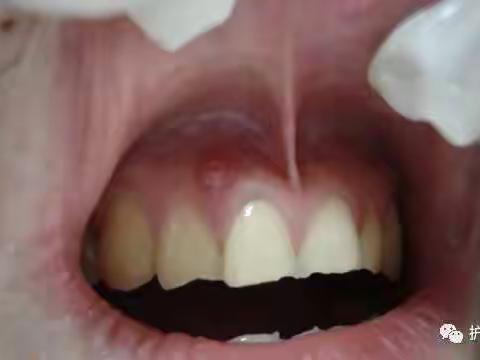
牙龈上长脓包,挤掉后还反复长出,怎么回事?
2019-02-27 208阅读