徐茹烨-核医学科
收藏TA
需扫码在手机上打开微
主页后点击更新提醒
最新内容
4
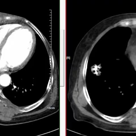
小粒子大作为——宜春市人民医院成功开展赣西首例肾上腺粒子植入术
2025-11-08
3181阅读
宜春市人民医院核医学科与呼吸科学术沙龙——粒子植入术和锶89治疗
2025-07-23
460阅读
宜春市人民医院核医学科新增利器—PET-CT
2024-06-29
725阅读
精准爆破——碘125粒子对癌细胞的围剿
2023-11-03
3459阅读
同行借鉴
内三科唐柳青
李珍
用户10723272
罗贺娟
宿松东城医院