小马哥
收藏TA
需扫码在手机上打开微
主页后点击更新提醒
最新内容
1
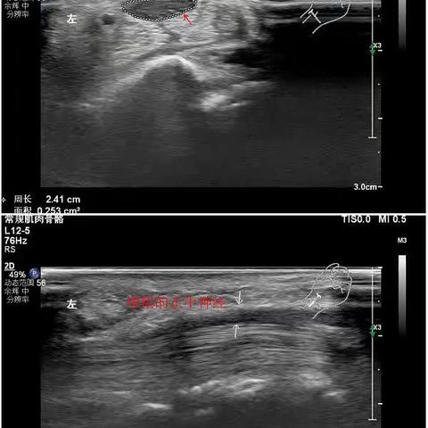
肌骨超声知多少?---我院超声科开展肌骨超声纪实
2023-12-07
3281阅读
同行借鉴
镇安县医院妇产科
肥乡区中心医院
A高
宝塔区健康教育中心