沉默陈德庆
收藏TA需扫码在手机上打开微
主页后点击更新提醒
最新内容 11
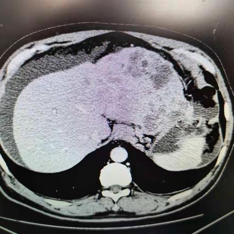
酒精性肝硬化一例
2021-09-21 1293阅读
嗜酒诱发肝癌
2021-07-14 1166阅读
我科完成一例复杂肝囊肿穿刺硬化
2021-03-14 330阅读
爱上阅读
2021-02-06 329阅读
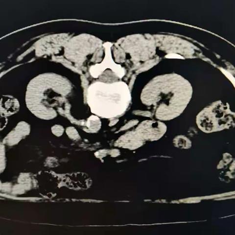
我科完成一例肾囊肿穿刺硬化术
2021-01-15 242阅读
我科肾穿刺活检一例
2021-01-08 407阅读
我科两小时完成两例肺占位穿刺活检
2020-12-25 396阅读
老年病科腔内置软管引流硬化一例巨大肾囊肿
2020-12-08 158阅读
我科顺利完成一例高龄肝穿刺活检
2020-11-23 815阅读
老年病科成功开展一例肝占位穿刺活检
2020-11-05 188阅读
沉默陈德庆的美篇
2020-06-10 106阅读